Aktuell ist die kontrastverstärkte Ultraschalluntersuchung das sensibelste bildgebende Verfahren mit der höchsten Auflösung für Untersuchungen der Gewebsdurchblutung. Darüber hinaus erlaubt diese Methode sogar die Beurteilung der Durchblutung in Echtzeit, wie sie bisher nur mit der Nierenfunktionsszintigrafie und der Verwendung von radioaktiven Markern möglich war.
Die Ultraschalluntersuchung der Nieren ist heute Standardmethode in der Hand von Nephrologen und Urologen, um einen ersten Überblick über Lage, Größe und Form der Nieren und ggf. eine Harnstauung zu geben. Farbkodierte Dopplersonografie erlaubt dazu auch Aussagen über den Blutfluss zu treffen. Für weitere Fragestellungen, z.B. die Klassifizierung von Nierenzysten, Abklärung eines Krebsverdachtes oder die Diagnose eines Blutgefäßverschlusses mussten aber bislang alternative Untersuchungen, wie ein Computertomogramm oder eine Magnetresonanztomografie eingesetzt werden. Nachteil dieser Methoden ist die Anwendung von Kontrastmittel, die wiederum über die Nieren ausgeschieden werden und bei verminderter Nierenfunktion selber die Nieren schädigen können. Außerdem verbleiben diese Kontrastmittel nicht nur in den Blutgefäßen, sondern reichern sich in den Geweben an. Jodhalte Röntgenkontrastmittel können daneben zu lebensbedrohlichen Schilddrüsenfunktionsstörungen führen.
Das für den kontrastverstärkten Ultraschall verwendete Kontrastmittel besteht dagegen aus einer Mikrobläschenemulsion. Die mit einer Phospholipidmembran umhüllten Bläschen von der Größe einer roten Blutzelle enthalten ein medizinisches Gas, namens Schwefelhexafluorid, das nahezu keine Reaktion mit dem Körper eingeht. Deshalb sind schwere Hypersensitivitätsreaktionen sehr selten (Risiko 1:10.000, im Vergleich jodhaltige Kontrastmittel Risiko 1:100 bis 1:1000).
Nach der intravenösen Injektion einer sehr kleinen Menge Ultraschallkontrastmittel von weniger als einem Milliliter flutet es in 10 – 20 s in den Nierenarterien an, durchströmt die Segment- und Interlobararterien, um sich dann auf die ca. halbe Million Nierenkörperchen in der Nierenrinde zu verteilen. Hier findet die Harnfiltration statt. Von dort gelangt das Kontrastmittel zum stark sauerstoffbedürftigen Nierenmark, wo die Harnkonzentration erfolgt. Nach etwa zwei Minuten lassen sich kaum mehr Kontrastmittelbläschen in der Niere nachweisen. Das Kontrastmittel wurde inzwischen von der Lunge abgeatmet.
Indikationen für die kontrastverstärkte Ultraschalluntersuchung der Nieren sind vor Allem sogenannte „Alles-oder-Nichts“-Fragestellungen. So können nierenschonend sehr schnell und sicher Niereninfarkte z.B. bei Patienten mit Herzrhythmusstörungen oder bei Neigung zu Thrombosen festgestellt werden. Eine weitere wichtige Indikation ist die Differenzierung von Nierenzysten in gutartig, potentiell bösartig oder Nierenkrebs. Erste Erfahrungen zeigen, dass hier die Ultraschalldiagnostik der herkömmlichen CT-Diagnostik in der Früherkennung überlegen zu sein scheint. Deshalb werden solche Läsionen gemeinsam mit Urologen und Radiologen besprochen und das weitere therapetischen Vorgehen (Beobachtung oder operative Therapie) festgelegt. Bei Nierenbeckenentzündungen können fokale Entzündungen und Abszesse identifiziert werden. In Fällen von Nierenverletzungen oder nach Eingriffen an der Niere können Komplikationen, wie z.B. Gefäßfisteln, sicher identifiziert werden. Ein noch experimentelles Feld ist die Nierenfunktionskinetik. Bei Nierenfunktionsverlust kann dabei mittels spezieller Auswertesoftware ähnlich der Nierenfunktionsszintigrafie die Nierendurchblutung quantifiziert und im Seitenvergleich dargestellt werden.

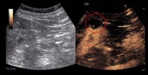
Bild: Kontrastmittelverstärkte Sonografie. Im linken Bild sieht man das klassische Sonografiebild der linken Niere mit einer Zyste am Oberrand (dunkler Fleck). Im rechten Bild zeigt die Kontrastdarstellung (bräunlich) die leere Zyste mit einer kontrastmittelaufnehmenden Struktur am Zystenrand bei 7 – 9 Uhr. Der Befund wird in drei Monaten kontrolliert und ggf. muss die Zyste dann minimalchirurgisch entfernt werden.